Uit de aannames die Nivel maakte in hun onderzoeksrapport, volgt dat vaccinatie 192.000 heeft gespaard in 2021
Vaccinatie spaarde 192.000 levens volgens Nivel



Uit de aannames die Nivel maakte in hun onderzoeksrapport, volgt dat vaccinatie 192.000 heeft gespaard in 2021

Er is GEEN griep volgens RIVM, want de bijbehorende oversterfte ontbreekt. De wekelijkse sterfte is NIET verhoogd, dus er kan geen griep zijn

Hebben de mRNA vaccinaties ons immuunsysteem geboosterd, of juist vatbaarder gemaakt voor “iets anders”? We zien een griepgolf verschijnen telkens 3 maanden na de booster, toeval?

Wat gebeurde er in 2021? Sinds 2021 is er een volstrekt ander sterftepatroon dan t/m 2020 toen corona domineerde.

Sinds het verschijnen van de vaccinatiecijfers van CIMS houdt de relatie tussen oversterfte en vaccinatie onderzoekers bezig. Hier volgt onze eigen analyse met verrassende conclusies.

Wat zijn mijn kansen? Wordt mijn kans te overlijden na vaccinatie groter of juist kleiner? Dat hangt af van uw leeftijd!

De Neurenbergcode met voeten getreden. In Medisch Ethisch Contact wordt via de WOB documenten het handelen van de overheid geschetst.

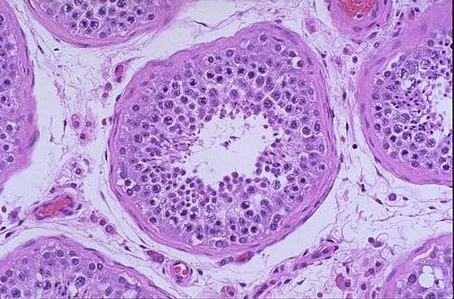
Histologische coupes van de testes van de 29-jarige jongeman die 46 dagen na zijn 2e vaccinatie met het vaccin van Pfizer overleed aan een subarachnoïdale bloeding.